Tu clínica de confianza en el corazón de La Rioja. Combinamos un equipo humano cercano y altamente especializado con tecnología de vanguardia para ofrecerte tratamientos cómodos, personalizados y eficaces. Tu sonrisa es nuestra prioridad.
En nuestra clínica dental Lozano Andía te atenderá un equipo cercano y profesional: desde la recepción siempre dispuesta a ayudarte hasta higienistas y odontólogos altamente cualificados. Con tecnología de última generación, garantizamos una atención precisa, cómoda y plenamente confiable.
En clínica dental Lozano Andía, ofrecemos una amplia gama de tratamientos para cuidar tu salud bucodental

Sustitución de dientes perdidos mediante una raíz de titanio para soportar una corona fija y ofrecer una solución duradera, eficaz y natural.

Especialidad que mejora la apariencia de la sonrisa mediante tratamientos como blanqueamiento, carillas o contorneado dental.

Corregir la posición de los dientes y la mordida mediante brackets o alineadores para mejorar la estética y la función de la boca.

Tratamiento de las encías y el hueso que sostiene los dientes, previniendo y curando enfermedades como la gingivitis y la periodontitis.
Nuestra tecnología nos permite ofrecer diagnósticos exactos y tratamientos personalizados, seguros y efectivos para cada paciente.
Porque apuestas por un equipo cercano y experto, tecnología avanzada, tratamientos personalizados y un compromiso real con tu salud dental y tu bienestar.


Un primer paso sencillo para mejorar tu salud bucodental
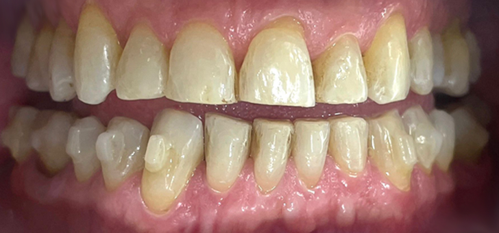
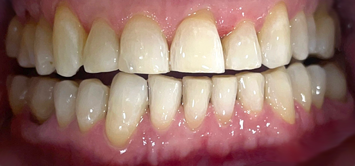
Descubre cómo mejoramos tu sonrisa en la Clínica Dental Lozano Andía de Logroño, La Rioja.
Publicado en Google RASUS BELLEZA, MASAJES Y OSTEOPATÍATrustindex verifica que la fuente original de la reseña sea Google. Soy cliente de Oscar desde hace muchos años y solo puedo hablar maravillas de esta clinica. Todo el personal muy amable y profesional,Ana,Carolina,Tamara,Eugenia,siempre con un trato excelente y asesorandome del mejor modo posible. Y que decir de Oscar,excelente profesional y mejor persona,me ha hecho implantes,fundas,endodoncias,empastes,me ha quitado todas las muelas del juicio y siempre sin el mas minimo problema,nunca cambiare de dentista,toda las personas que les he recomendado han quedado encantadas. 100x100 recomendable en todos los sentidos,un placer haberos conocido.Publicado en Google Consuelo RoldanTrustindex verifica que la fuente original de la reseña sea Google. Una clínica estupenda, son un equipo de 10 Ana Maria, Tamara, Carol y por supuesto Oscar que te hace sentir cómoda y tiene unas manos que hace desaparecer el miedo a ir al dentista. Buenos consejos. Un gran profesional. No puedo estar más contenta con ellos. Ser siempre así de atentos, humanos y profesionales.Publicado en Google Chilom AndreiTrustindex verifica que la fuente original de la reseña sea Google. Por su profesionalidad y buen trato por parte de todo el equipo, he recomendado sinceramente a mi familia y a todas mis amistades a Oscar y su Clinica Dental. Muchas gracias por todo.Publicado en Google JaviTrustindex verifica que la fuente original de la reseña sea Google. Llebo años acudiendo a esta clinica y siempre de 10!!! Oscar y todo su equipo unos grandes profesionales. Se preocupa que no sientas el mínimo dolor y siempre totalmente pendiente de ti. Muchas gracias Oscar!!!Publicado en Google CARLOS PEÑA ARCINIEGATrustindex verifica que la fuente original de la reseña sea Google. Soy paciente de Oscar hace mas de 20 años y hace poco me he ha colocado un puente con dos implantes,una corona y una carilla.La intrecevencion,sin ningun tipo de dolor,ajustes a la primera y resultado optimo.Un profesional fantastico y un equipo a la altura.Publicado en Google Ana Isabel Arias FernandezTrustindex verifica que la fuente original de la reseña sea Google. Soy paciente de Óscar y su equipo desde hace 24 años , confío tanto en su buen hacer y profesionalidad que llevo a toda mi familia, he incluido también este año a mi hijo de 7 años. Han tenido un mimo especial con el y es de agradecer. Mil gracias por ser buenos profesionales y tan humanos.Publicado en Google Elena MarínTrustindex verifica que la fuente original de la reseña sea Google. Muy buenos profesionales además de proporcionar un trato personalizado y cercano, ofreciendo un cuidado dental de primera calidad.Publicado en Google oana lauraTrustindex verifica que la fuente original de la reseña sea Google. Acabo de realizarme una intervención y no me he podido poner en mejores manos grandísimos profesionales y mejores personas. Lo recomiendo 100%Publicado en Google sara saraTrustindex verifica que la fuente original de la reseña sea Google. Sin duda el mejor dentista ,amable ,humilde y muy profesional ,os lo recomiendo al 100 por 100,además tiene muy buena música que te desestresa.
© 2025 Lozanoandia.com | AVISO LEGAL | POLÍTICA DE PRIVACIDAD